Шестая неделя беременности
Для большинства женщин на шестой неделе беременности их новое состояние уже очевидно: появляются первые признаки беременности, меняется самочувствие.
Менструация в срок не началась, и домашний тест на беременность либо анализ крови на ХГЧ (хорионический гонадотропин человека), сделанный в женской консультации, уже подтвердил беременность.
Если врач назначил также УЗИ, то оно, даже несмотря на такой ранний срок беременности, уже покажет, как растет и развивается эмбрион и какие изменения происходят в организме женщины.
6 неделя беременности: что происходит в организме женщины
Многие женщины на шестой неделе уже вовсю ощущают первые признаки беременности: дискомфорт и тяжесть в груди, повышенную утомляемость, учащенное мочеиспускание.
Все эти симптомы обусловлены действием высоких концентраций прогестерона, это сейчас основной гормон, поддерживающий развитие беременности.
Могут проявить себя и признаки токсикоза — прежде всего, утренняя тошнота и даже рвота, обострение чувствительности к некоторым вкусам и запахам. У некоторых женщин также появляются такие признаки, как частые изжоги, метеоризм и кишечные колики, снижение артериального давления и головокружение.
Термины
Пупочный канатик
Нервная трубка
УЗИ плода
Угроза выкидыша
У некоторых женщин на этом сроке не прекращаются менструации, несмотря на наступление беременности. Это связано с тем, что эндометрий может частично отслаиваться, не нанося ущерба развивающемуся эмбриону.
Однако вполне очевидно, что это не такая, как всегда, менструация, поскольку длится она меньше, а сами выделения более скудные.
Влагалищные выделения на шестой неделе могут усилиться, стать более вязкими. Но это не должно приносить дискомфорта женщине. Если же появляется зуд, раздражение либо выделения имеют резкий запах, необходимо проконсультироваться с врачом, возможно развитие бактериальной инфекции, молочницы беременных.
Безусловно, опасный симптом — это кровянистые выделения. Если отслоение эндометрия, которое иногда идет у женщин на раннем сроке, дает темный, коричневатый цвет выделений, то ярко-красный цвет говорит скорее об угрозе выкидыша, особенно если также беспокоят боли в животе. Это повод для экстренной госпитализации.
Многие женщины на шестой неделе замечают явное увеличение груди. Это нормальный симптом при беременности. При этом важно перейти на специальное белье для беременных или носить спортивный бюстгальтер, чтобы ее мешать нормальному развитию молочной железы.
Не теряет важности правильной питание беременной. В период активной закладки органов будущего ребенка требуется огромное количество питательных веществ, витаминов, минералов.
6 неделя беременности: развитие эмбриона
Интерактив
Когда в декрет
Ответьте на несколько вопросов, и наш калькулятор выдаст вам дату, с которой начнется ваш декретный отпуск.
На шестой неделе беременности идет формирование неврной системы ребенка. Нервная трубка постепенно развивается, давая начало спинному мозгу и другим элементам нервной системы.
Из той же самой нервной ткани формируются зачатки ушей и глаз будущего ребенка. Головной мозг на четвертой неделе от зачатия представлен двумя мозговыми пузырями, из которых в последующем формируются полушария.
Из клеток мезодермы в то же время формируется сердечно-сосудистая система, на шестой неделе беременности уже функционирует S-образное сердце эмбриона, оно уже пульсирует, прокачивая кровь по маленькому организму.
Кишечная трубка зародыша подразделяется на три отдела. В переднем отделе образуются выросты, с них начинается формирование щитовидной, паращитовидных желез и аденогипофиза. Здесь же находятся зачатки дыхательной системы — будущие трахеи, бронхи, легкие, а также зачатки печени и поджелудочной железы.
Появившиеся в стенке желточного мешка островки кроветворения начинают функционировать, выдавая первые эритроциты, формируются первые кровеносные сосуды будущего ребенка.
К концу шестой недели беременности эмбрион достигает 1,36 см в длину и начинает совершать первые сгибательные движения в боковых направлениях.
В то же время продолжают развиваться плодные оболочки. Плацента к шестой неделе беременности еще не сформирована, ее функции пока выполняет хорион. В желточном мешке образовались зачатки половых клеток будущего малыша. Пока они будут делиться внутри этой зародышевой оболочки, а уже позже мигрируют в ткани зародыша.
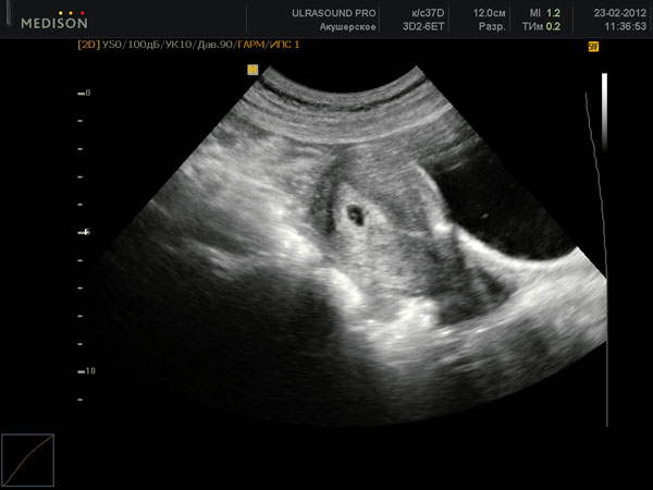
УЗИ плода на 6 неделе

Читайте также
Можно ли заниматься спортом во время беременности: Многие женщины, попав в интересное положение, задаются вопросом, а можно ли теперь заниматься спортом
Синдром Дауна у ребенка: методы выявления на дородовом этапе: Современные методы диагностики позволяют оценить, существует ли высокий риск синдрома Дауна у ребенка, еще на дородовом этапе развития.
Изменения веса при беременности: норма и патология: Беременные женщины прибавляют в весе. Почему это происходит и какая прибавка в весе считается нормальной?